Blog
Post Recientes
¿Qué es la Ortodoncia Holística y cómo beneficia a tu hijo?
La ortodoncia holística es una forma integrativa y respetuosa de tratar los problemas dentales y de desarrollo facial en los niños, considerando no solo los

AMALGAMA: TOXICIDAD OCULTA
La Odontología Neurofocal e Integrativa nos permite evaluar la toxicidad de amalgamas y metales en general. Nos apoyamos con herramientas de Medicina Alternativa y Biorreguladora

Siguenos en nuestra redes
Nuevos post
¿Qué es la Ortodoncia Holística y cómo beneficia a tu hijo?

AMALGAMA: TOXICIDAD OCULTA
Historias destacadas
¿Qué es la Ortodoncia Holística y cómo beneficia a tu hijo?

La ortodoncia holística es una forma integrativa y respetuosa de tratar los problemas dentales y de desarrollo facial en los niños, considerando no solo los dientes, sino también la respiración, postura, nutrición, emociones, sueño y hábitos de vida. No se trata únicamente de alinear los dientes, sino de comprender por qué están desalineadosy cómo esto afecta la salud general del niño a corto y largo plazo.
En nuestro consultorio Adriana Murillo Ortodoncia Holística, nos enfocamos en encontrar la causa raíz de los problemas ortodóncicos y trabajando de forma multidisciplinaria para lograr un equilibrio funcional, estético y sistémico.
¿Cómo beneficia a tu hijo?
1. Mejora la respiración y el sueño
- La mayoría de los problemas ortodónticos en niños están relacionados con respiración oral, que puede afectar el desarrollo del rostro y el rendimiento escolar.
- La ortodoncia holística ayuda a fomentar una respiración nasal saludable, reduciendo ronquidos, apnea del sueño y fatiga crónica.
2. Favorece una buena masticación y digestión
- Un desarrollo adecuado de la mordida y las funciones orales mejora la nutrición y la absorción de nutrientes esenciales.
- Ayuda en la corrección de la deglución atípica y la masticación deficiente.
3. Mejora el equilibrio emocional y postural
- Un niño con una mordida y postura equilibradas se siente más seguro, concentrado y en calma.
- Muchas veces, problemas de atención o irritabilidad están relacionados con dolores musculares, disfunción mandibular o apnea del sueño no diagnosticada.
4. Previene problemas futuros
- Al tratar las causas desde la raíz (como respiración, hábitos orales, lengua baja o alimentación blanda), se reduce la necesidad de extracciones, brackets agresivos o tratamientos invasivos en el futuro.
- Mejora la autoestima, ya que acompaña el desarrollo facial armónico desde edades tempranas.
5. Enfoque personalizado y respetuoso
- Se escucha y acompaña al niño y a su familia desde un enfoque empático.
- Puede involucrar a un equipo multidisciplinario, para lograr un resultado completo y sostenible.
¿A qué edad puede comenzar?
Idealmente, la ortodoncia holística preventiva, puede comenzar con una evaluación entre los 3 y 7 años, cuando los huesos están en desarrollo y es más fácil guiar el crecimiento de forma natural.
Participación de los padres
El éxito del tratamiento depende del compromiso familiar. Por eso, se les acompaña con educación, guías de hábitos saludables y trabajo coordinado.
Profesionales que intervienen en caso de ser necesario:
- Ortodoncista integrativo
- Terapeuta miofuncional
- Osteópata o fisioterapeuta
- Psicólogo infantil
- Nutricionista funcional
Tu hijo merece un tratamiento que respete su crecimiento, emociones y salud general.
Una sonrisa sana se cultiva desde dentro.
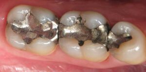
AMALGAMA: TOXICIDAD OCULTA

Las amalgamas son aleaciones de 53% de mercurio, 20% de plata, 16% de zinc, 10% de cobre y estaño, que en odontología hemos utilizado durante casi dos siglos por ser un material duradero y económico, para realizar obturaciones y reconstruir dientes afectados por caries dental.
Las controversias de retirarlas y no usarlas, han quedado aclaradas. Las amalgamas son poco estéticas y peligrosas para la salud. La IAOMT ( International Academy of Oral Medicine and Toxicology ) ha demostrado que el mercurio de las amalgamas se evapora de forma alarmante.
Sabemos bien que el mercurio es citotóxico debido a la unión de las proteínas a los grupos sulfidrilos, causando bloqueos enzimáticos vitales. Diferentes estudios han demostrado que el mercurio se acumula en el cerebro, hígado, riñón y bazo, y una vez liberado en el torrente sanguíneo, se convierte en sulfuro de plata y en metilmercurio, que es mucho más tóxico, y su eliminación es muy lenta (puede tardar hasta 18 años).
La intoxicación por mercurio se denomina Hidrargirismo y algunos de los síntomas asociados son:
- Insomnio, perturbación del sueño y pesadillas
- Fatiga crónica
- Ataques de pánico
- Pérdida de la memoria
- Sialorrea
- Dolores de cabeza, musculares y articulares
- Depresión
- Trastornos digestivos
- Nefritis con anuria y uremia
- Falta de energía y concentración
- Síntomas psíquicos (cambios de humor, irritabilidad, ansiedad, depresiones)
- Trastornos psicológicos
- Trastornos intraorales: Sabor metálico, corriente eléctrica en la cavidad bucal
Para eliminar las obturaciones en amalgama, debemos seguir este protocolo:
- Uso de máscaras para evitar la inhalación de gas mercurio
- Realizar aislamiento con tela de caucho, para evitar la ingesta de la amalgama que se remueve
- Utilizar buena refrigeración con agua y utilizar fresas nuevas, para evitar que la amalgama se caliente
- Utilizar un eyector de alta potencia
- Ventilación adecuada en el consultorio
- Usar medicamentos antioxidantes como la vitamina C y drenadores específicos para la amalgama y el material de reemplazo (resina, cerámica, etc)
Es ideal proporcionar el apoyo necesario para drenar estos tóxicos antes, durante y después del cambio de tus obturaciones en amalgama por materiales de resina, por ejemplo. No sólo es más estético sino que retiramos toxinas de tu cuerpo.
Adicionalmente, es nuestra responsabilidad como odontólogos que la disposición final de los restos de amalgama deban ser segregados y tratados de una manera especial, para disminuir la contaminación ambiental causada por el mercurio.
GALVANISMO EN CAVIDAD ORAL

Recomendamos reemplazar las amalgamas antes de realizarse el tratamiento de ortodoncia. En ortodoncia, implantología y rehabilitación oral, todavía se utilizan metales como níquel, cromo, titanio, oro, berilio y acero.
Todos los metales son buenos conductores de calor y electricidad.
En boca, características como humedad y temperatura constante, favorecen la corrosión, el galvanismo (electricidad producida por una reacción química), y la intoxicación por ingesta de partículas metálicas y de los vapores de mercurio que se liberan fácilmente cada vez que consumimos productos ácidos, alimentos y bebidas calientes, cepillamos nuestros dientes, tabaco, electromagnetismo de dispositivos móviles, cepillos eléctricos. Estas partículas pasan fácilmente a través de las membranas celulares, de la barrera hematoencefálica y del sistema nervioso central, causando problemas psicológicos, neurológicos e inmunológicos.
Estas aleaciones sufren descomposición electrolítica que genera citotoxicidad y reacciones galvánicas. Por esto buscamos que los materiales dentales que usamos sean lo menos tóxicos con nuestro organismo. Crear un ambiente libre de toxinas es una de nuestras metas.
PROPUESTA TERAPÉUTICA

Desde el punto de vista del concepto holístico y cibernético, pueden surgir de los componentes metálicos de la amalgama, impulsos de información que pueden desorganizar el sistema de las vías de energía como los meridianos de acupuntura. La primera fase es la eliminación de todas las amalgamas acompañada de una terapia de excreción y regulación con medicamentos biológicos con el fin de eliminar los metales depositados en los tejidos.
En Medicina Biorreguladora de Sistemas, utilizamos Lymphomyosot para depurar y drenar la matriz extracelular, estimulando la excreción del mercurio absorbido. También lo complementamos con Mercurius-Heel, Galium-Heel y Nuxeel. Y como tratamiento complementario, protegemos la mitocondria en un protocolo de selenio y vitamina E.
¡Desintoxica tu boca! En ella se pueden estar originando muchas enfermedades de tu cuerpo.





